发布时间:2026-02-02来源:泌尿外科编辑:浏览: 次
近日,一场历时3小时的高难度机器人辅助腹腔镜下腹膜后肿瘤切除术,在中山大学附属第一医院(简称中山一院)广西医院成功实施。医院泌尿外科副主任(主持工作)王伟医生团队凭借精湛医术,借助机器人手术系统的精准优势,为一名老年患者完整切除了复发性腹膜后脂肪肉瘤,突破肿瘤与腹主动脉、胰腺及肠道广泛粘连的手术禁区,且术中重要血管和脏器完好无损。该手术的顺利完成,为同类疑难病例的治疗提供了宝贵经验。
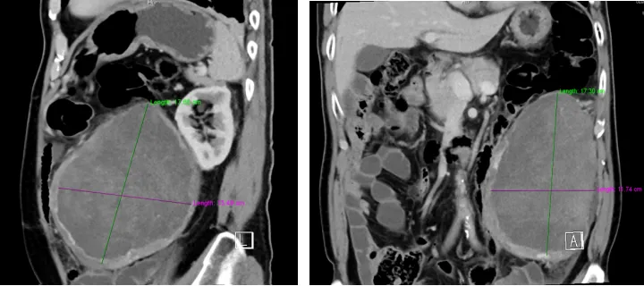
据了解,患者今年70岁有余,3年前因左肾上腺脂肪肉瘤接受过开放手术治疗。两个月前,患者因身体不适复查时,被确诊为肿瘤复发,且肿瘤体积已生长至18×18×14cm。为得到进一步治疗,患者慕名来到我院泌尿外科就诊。
王伟医生团队在了解患者情况后,为其进行全面检查。经CT检查显示,复发的肿瘤与腹主动脉、胰腺及肠道形成了广泛致密粘连,手术分离难度大,且术中可能有大出血、脏器损伤等风险。

“腹膜后脂肪肉瘤本身就具有局部侵袭性强、易复发的特点,多次手术会导致腹腔内粘连情况加剧,进一步增加手术难度。”王伟医生介绍,该患者的肿瘤紧邻腹主动脉这一人体重要血管主干,一旦术中损伤,将引发致命性出血;同时肿瘤与胰腺、肠道等重要脏器粘连紧密,稍有不慎就可能造成脏器损伤,给患者术后生活质量带来严重影响。
面对这一复杂棘手的病情,王伟医生团队立即联系医院放射影像科、麻醉科、普通外科等多学科专家进行多次会诊,对患者的病情进行了全面细致的评估。经过反复研讨,团队最终决定为患者实施“机器人辅助腹腔镜下腹膜后肿瘤切除术”。“机器人手术系统的颤抖滤除功能和动作比例缩放技术,能在致密粘连组织中实现毫米级精细分离,这是传统手术无法比拟的优势。”王伟医生解释道。

手术当日,在麻醉科团队的密切配合下,王伟医生团队正式开始手术。术中,机器人手术系统的10倍高清3D视野发挥了关键作用,清晰呈现出肿瘤与周围血管、脏器的解剖关系,帮助医生精准识别肿瘤血供。同时,机械臂的颤抖滤除功能有效过滤了医生手部的生理性抖动,动作比例缩放技术则将医生的操作精准放大或缩小,使器械在狭窄空间内灵活穿梭,小心翼翼地对肿瘤与腹主动脉、胰腺、肠道等组织的粘连进行分离。
整个手术过程中,团队成员分工明确、配合默契。经过3小时的精心操作,终于将肿瘤完整切除,且腹主动脉、胰腺、肠道等重要血管和脏器均完好无损,术中出血量仅为50毫升左右。术后病理检查结果显示,肿瘤切缘阴性,意味着肿瘤切除干净,为患者后续康复奠定了良好基础。
该例高难度手术的实施,不仅体现了我院泌尿外科在复杂腹膜后肿瘤诊疗领域的技术实力,也彰显了机器人手术系统在精准微创治疗方面的独特优势。未来,团队将继续探索机器人技术在复杂肿瘤手术中的创新应用,为更多疑难重症患者带来希望。(来源:泌尿外科)
返回顶部