发布时间:2024-11-22来源:心胸外科编辑:浏览: 次
编者按:医学科普对于促进全民健康水平、提升国民健康素养有重要意义;普及健康知识,提高全民健康素养水平,是提高全民健康水平最根本最经济最有效的措施之一。为顺应国家大健康的策略,弘扬科学精神、传播科学思想、创新展示医学科普知识,自2024年1月起,我院推出健康科普栏目《佛子岭3号医生》,让医学走进大众,让健康融入生活。
今天推出第53期《刘振国:什么是肺癌?肺癌治得好吗?》。

近几十年来,肺癌已经成为一个离我们越来越近的威胁,尤其是在工业发达的国家中,肺癌更为常见。
肺癌又称人类第一大癌,但大众对于肺癌的相关知识却一知半解,这对于预防早期没有症状的肺癌来说,相当困难。今天,中山一院广西医院专家就带您了解肺癌的相关信息,增加对肺癌的认知。
肺癌是什么
肺癌是人类众多癌症的一种,是一种起源于支气管粘膜上皮的恶性肿瘤。患者常常因为体检拍胸片或胸部CT的时候,意外发现肺部结节或阴影,最后确诊肺癌。

肺癌是怎么来的
目前肺癌的发病机制尚未完全明确。
研究发现,诱发肺癌的因素可能与吸烟(肺癌发病率居高不下的重要因素)、饮食(长期缺乏各种微量元素)、遗传、环境污染、肺部慢性感染、职业接触(长期接触石棉、铍、铬、镍、砷、芥子气、煤焦油、氯甲甲醚、三氯甲醚、烟草加热产物、铀镭等放射性物质衰变时产生的氡与氡子气,电离辐射和微波辐射等因子)等因素有关。
肺癌的症状
“早发现、早诊断、早治疗”是治疗肿瘤疾病的重要原则。但令人遗憾的是,大多数肺癌早期并没有症状。
多数肺癌患者确诊时已进入晚期,此时刺激性咳嗽为最常见的症状,另外还可能有血痰、声音嘶哑、呼吸困难、胸痛、肩膀疼痛等症状,全身表现一般为消瘦、食欲缺乏、乏力、发热、恶病质等。

肺癌的治疗与预防
目前治疗肺癌的方法包括手术治疗、药物治疗、放射治疗、化学治疗及肺癌介入治疗等。
除了特别的早期肺癌之外,肺癌尚不能被完全治愈。由于多数患者发现时已是晚期,三年内的整体生存率几乎低于20%。如果确诊时病变较小、尚未出现转移的早期肺癌患者,五年生存率可达50%以上;如果是影像学表现为磨玻璃结节的肺癌,经积极的手术切除,可能实现治愈。所以早发现十分重要。

肺癌筛查的目的是指在肺癌还没有任何症状之前去发现它并将它“扼杀”在摇篮里。当然,医生在做肺癌筛查之前,会先评估患肺癌的风险大小如何,是否具备患肺癌的危险因素,进而判断是否有做肺癌筛查的需要。对于涉及肺癌发病高危因素的人群,进行肺癌筛查十分必要,建议每1-2年筛查一次。
在日常生活中,避免接触与肺癌发病相关的可控因素,可以大大减少肺癌的发病几率。例如戒烟、加强职业接触中的保护、改善污染的环境、保证膳食营养均衡等。
肺癌是绝症吗?能治好吗
肺癌分很多种病理类型,不同类型的预后明显不同。肺癌分早中晚期(医学上有更严格的TNM分期),每个分期的病人预后都不相同;另外,具体到每一个病人,由于对治疗的方式、对药物的反应等不同,预后也差别很大。

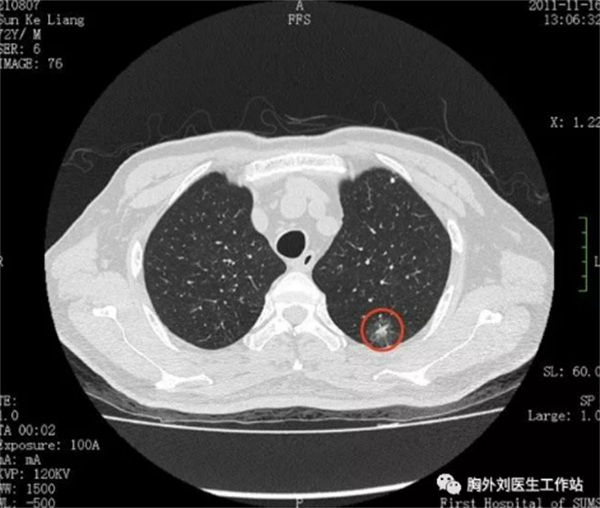
▲图为特别早期肺癌胸部CT(GGO病变)
一些特别早期的肺癌(如原位癌或影像学表现为GGO磨玻璃样病变的早期肺癌),手术根治后10年生存率可达到95%以上,甚至实现完全治愈;对于相对早期的非小细胞肺癌(NSCLC),一般手术根治后,5年生存率(活到5年的概率)约70%以上;但是对于一些恶性程度比较高的肺癌,如广泛期小细胞肺癌,或者比较晚期的NSCLC(如肺癌已经发生了局部或全身转移,如转移到脑、骨、或双肺等),预后往往很差,治疗效果往往不好,一般5年生存率低于10%。
令人欣慰的是,近年来针对肺癌治疗的新药层出不穷,特别是针对肺癌基因突变的检测的普及,一些有特定基因突变的人群(如EGFR经典突变、ALK、ROS1、BRAF V600E突变等),使用针对特定基因突变的靶向药物后,肺癌患者的寿命明显延长。
医生名片
刘振国

中山一院广西医院心胸外科主任,副主任医师,医学博士,硕士生导师。从事胸外科工作15年余,深耕肺小结节/磨玻璃肺结节/肺癌的微创外科治疗及快速康复,2023年度完成IV级微创肺结节手术500多例;2022年广东医院最强科室之实力中青年医生;擅长肺癌、食管癌、纵隔肿瘤等的微创外科为主的综合治疗;肺大泡、手汗症、漏斗胸等良性疾病的胸腔镜微创疗法。
目前担任国际肺癌研究协会(IASLC)会员、广东省医师协会胸外科医师分会委员、广东省临床医学会肺癌多学科防诊治青委会常委等社会兼职;主持国家自然科学基金、广东省自然科学基金及省部级基金多项;以第一/通讯作者发表SCI论文20余篇,其中在 JTCVS,ATS等心胸外专刊发表论文多篇。(来源:心胸外科)
返回顶部